Статьи
Шишки хмеля, обладающие целебными свойствами, становятся популярными в уходе за волосами благодаря компонентам, укрепляющим и восстанавливающим их структуру.
Икота у новорождённых — распространённое явление, которое может вызывать беспокойство у родителей. В этой статье рассмотрим причины икоты у малышей, особенно
Бруксизм у взрослых — распространенное, но часто недооцененное состояние, способное вызвать серьезные проблемы со здоровьем. В статье рассмотрим причины
В статье рассматривается популярное средство для детей — Энтеросгель, эффективное при болях в животе и аллергических реакциях. Обсудим его действие, состав
Аппендицит — острое воспаление аппендикса, требующее немедленного медицинского вмешательства. Важно знать его симптомы, чтобы вовремя обратиться за помощью
Амоксициллин — распространенный антибиотик в педиатрии, эффективно борющийся с инфекциями у детей. В статье рассмотрим состав, механизм действия, показания
Ветряная оспа — инфекционное заболевание, чаще встречающееся у детей, но также затрагивающее взрослых. Мазь Циндол, обладающая противовоспалительными и
Лимфостаз руки — серьезное состояние, возникающее из-за различных факторов, включая хирургическое вмешательство, например, удаление молочной железы.
Ксантелазма век — доброкачественные образования в виде желтоватых бляшек на коже век. Хотя они безобидны, могут вызывать эстетический дискомфорт и указывать
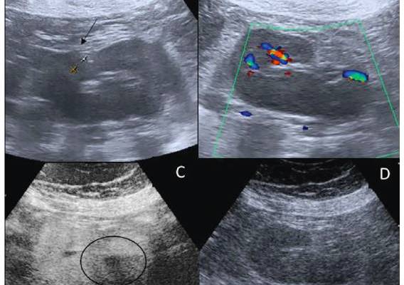
Пиелонефрит — воспалительное заболевание почек, требующее своевременной диагностики и лечения для предотвращения осложнений. Ультразвуковое исследование









