Осложнения аппендицита формируются в зависимости от времени течения воспалительного процесса. Первые сутки патологического процесса, как правило, характеризуются отсутствием осложнений, так как процесс не выходит за пределы червеобразного отростка. Однако, в случае несвоевременно оказанного или неправильного лечения, спустя несколько суток могут сформироваться такие осложнения, как перфорация отростка, перитонит или тромбофлебит вен брыжейки.
- Классификация
- Перфорация
- Аппендикулярный инфильтрат
- Аппендикулярный абсцесс
- Пилефлебит
- Перитонит
- Кишечные свищи
Для предотвращения развития осложнений острого аппендицита, необходимо своевременно обратиться в медицинское учреждение. Своевременно диагностированная патология и проведённая операция по удалению воспалённого червеобразного отростка является профилактикой формирования жизненно опасных состояний.
Что собою представляет аппендицит?
Аппендицит — это заболевание, которое характеризуется воспалением стенки аппендикса (червеобразного отростка слепой кишки). Он расположен в нижней правой части живота, который еще называют подвздошной областью. Во взрослом организме аппендикс не имеет никакой функции, поэтому его удаление (аппендэктомия) не несет вреда здоровью человека.
Чаще всего червеобразный отросток воспаляется у людей в возрасте от 10 до 30 лет.
Причины воспаления аппендицита
Почему развивается гнойный аппендицит, точно пока неизвестно. Ученые сходятся во мнении, что единственной причины, общей для всех больных, нет. У каждого пациента причина воспаления индивидуальна, но в большинстве случае острая форма спровоцирована закупоркой входа отростка в прямую кишку. Это может случиться по причине попадания в канал инородных тел и каловых масс, вследствие спаек из-за энтерита или холецистита.
Значительную роль в возникновении острого аппендицита и перитонита играют бактерии. Как правило, имеет место сочетание обоих факторов. Застой содержимого приводит к ослаблению местного иммунитета и внедрению вредоносных бактерий в слизистую. Научным сообществом разрабатывается теория, согласно которой основной причиной аппендицита является спазм сосудов. Другие возможные провоцирующие факторы — травма живота, которая повлекла перемещение отростка.
Способствуют заболеванию нарушения стула, недостаток растительных волокон в рационе, частое переедание, наличие паразитов, нарушение баланса микрофлоры, инфекционные болезни ЖКТ, плохая перистальтика кишечника. Возможно, влияют наследственные факторы, стрессы, общее снижение иммунитета, недостаток витаминов и полезных микроэлементов в пище. Отмечается повышенная частота возникновения болезни у беременных женщин. Врачи объясняют это смещением отростка, вызванным увеличением размеров матки.
Основные симптомы
Прежде чем непосредственно перейти к тому, какие осложнения после острого аппендицита могут иметь место, разберем, какие же симптомы помогут заподозрить наличие воспаления для своевременного обращения за медицинской помощью.
Если хроническое воспаление червеобразного отростка может долгое время себя не проявлять и не доставлять неудобств больному, то острый аппендицит имеет яркую симптоматику:
- резкая сильная боль в верхней части живота (эпигастрии), которая постепенно спускается вниз и вправо (в подвздошную область);
- усиление боли при повороте на правую сторону, при кашле, ходьбе;
- напряжение мышц передней брюшной стенки, что происходит из-за болей, которые возникают у пациента при движении мышцами живота;
- возможно скопление газов в кишечнике, запор;
- субфебрильная температура (до 37,5 °С).
Причины возникновения осложнений после удаления аппендицита
Осложнения после операции по удалению аппендицита возникают нечасто, но все же случаются, даже при наличии большого количества лекарств в больницах и при использовании современного оборудования. В среднем частота возникновения осложненного течения после аппендэктомии варьируется между 2,1 и 4,6%.

Летальность от проведенной аппендэктомии составляет 5,9%. Такой уровень смертности обусловлен поздней диагностикой болезни, а также ошибками медицинского персонала. Вероятность осложненного течения увеличивается при развитии деструктивной формы воспаления отростка.
Согласно клиническим рекомендациям, осложнения после острого аппендицита появляются из-за:
- Поздней госпитализации больного в хирургическое отделение.
- Недостаточной квалификации врачей и фельдшеров первичного звена.
- Атипичного течения болезни у пожилых пациентов, детей и беременных женщин.
- Трудности в получении анамнестических данных от пациентов (больные не могут точно сказать, когда появилась клиника).
- Позднего оперативного вмешательства (отказ больного от операции, госпитализации, ошибки персонала).
- Неправильной оценки распространенности воспалительного процесса, плохой санации, дренирования в ходе оперативного вмешательства.
- Ошибки в ведении больного на этапе послеоперационного лечения.
При наличии этих факторов у больного могут развиться гнойно-септические процессы, легочные осложнения и задержка мочи.
Повышается вероятность послеоперационных осложнений при гангренозном и перфоративном аппендиците. По этой причине помощь должна оказываться на этапе катарального или флегмонозного воспаления аппендикса. Это поможет снизить риск осложненного послеоперационного течения болезни.
Классификация аппендицита
Возможно, для обывателей не имеет большого значения, какое именно воспаление червеобразного отростка наблюдается в его случае. Однако для хирурга очень важно знать вид аппендицита, ведь в зависимости от этого можно определить прогноз дальнейшего течения заболевания и вероятность развития осложнений. А также это определяет хирургическую тактику.
Выделяют следующие виды аппендицита:
- катаральный или простой — наиболее распространенная форма;
- поверхностный;
- флегмонозный — гнойное воспаление отростка;
- гангренозный — с развитием некроза отростка;
- перфоративный — с разрушением аппендикса и проникновением содержимого кишечника в брюшную полость.
Именно флегмонозный и гангренозный виды являются наиболее неблагоприятными с точки зрения развития осложнений. Эти разновидности аппендицита требуют наибольшего внимания хирурга и немедленного оперативного вмешательства. А перфоративный вид, по сути, является осложнением после гангренозного аппендицита.
Особенности заболевания
Воспаление аппендицита носит острый или хронический характер. Формы патологии отличаются выраженностью симптоматических признаков проявления. В зависимости от степени повреждения слизистой оболочки отростка толстой кишки, количеством лейкоцитов в эпителии выделяют катаральный, флегмонозный, перфоративный, гангренозный тип заболевания.
Выраженными симптомами воспалительного процесса или обострения хронического аппендицита являются:
- сильный спазмы острого характера с правой стороны брюшной полости;
- повышение температуры;
- рвота, тошнота;
- выделение частого жидкого стула;
- сухость в ротовой полости;
- одышка.
Главный признак – болевой синдром, интенсивность которого зависит от положения тела. Внезапное прекращение ощущения спазмов свидетельствует об отсутствии функционирования нервных клеток вследствие омертвения тканей слизистой оболочки кишки.
Проведение экстренного хирургического вмешательства после диагноза острого аппендицита – основной способ лечения воспаления.
Виды осложнений
Осложнения после аппендицита можно поделить на две большие группы.
К первой относятся осложнения непосредственно самого воспаления, к которым часто приводит несвоевременное обращение за медицинской помощью. Это такие осложнения, как:
- аппендикулярный инфильтрат — образование конгломерата из петель кишечника, брыжейки и других органов брюшной полости вокруг червеобразного отростка;
- абсцессы в брюшной полости (в малом тазу, между петлями кишечника, под диафрагмой);
- перитонит — воспаление брюшины;
- пилефлебит — воспаление воротной вены (сосуда, который несет кровь к печени), а также ее ветвей.
Перфорация
Перфорированный аппендицит
Перфорация относится к ранним осложнениям. Она формируется спустя несколько дней с момента воспаления органа, особенно при деструктивной форме. При данной патологии происходит гнойное расплавление стенок червеобразного отростка и излитие гноя в брюшную полость. Перфорация всегда сопровождается перитонитом.
Клинически патологическое состояние характеризуется такими проявлениями:
- прогрессирование болевого синдрома в области живота;
- высокая лихорадка;
- тошнота и рвота;
- интоксикация;
- положительные симптомы перитонита.
При остром аппендиците прободение органа проявляется у 2,7% больных, у которых терапия началась на ранних сроках формирования недуга, а на поздних стадиях формирования заболевания перфорация развивается у 6,3% пациентов.
Аппендикулярный инфильтрат
При ответе на вопрос, какие могут быть осложнения после аппендицита, в первую очередь нужно выделить образование аппендикулярного инфильтрата. Он является группой спаянных между собой органов и тканей брюшной полости, которые ограничивают аппендикс от остального пространства брюшной полости. Как правило, данное осложнение развивается через несколько дней после начала заболевания.
Симптомы осложнения после аппендицита, конкретно аппендикулярного инфильтрата, характеризуются снижением интенсивности болей внизу живота. Она становится не такой острой, а более тупой, не имеет четкой локализации, немного увеличивается только при ходьбе.
При пальпации брюшной полости можно прощупать нечеткое образование, характеризующееся болезненностью. Далее инфильтрат плотнеет, контуры становятся более размытыми, боль пропадает.
Инфильтрат может рассосаться в течение полутора-двух недель, однако, может и нагноиться с образованием абсцесса. При нагноении состояние больного резко ухудшается, появляется температура, живот становится болезненным при пальпации, мышцы передней брюшной стенки напряжены.
Перитонит
Перитонит – воспаление брюшины, которое выступает последствием острого аппендицита. Местный отграниченный воспалительный процесс брюшины характеризуется такой клинической картиной:
- выраженный болевой синдром;
- гипертермия;
- побледнение кожных покровов;
- тахикардия.
Выявить данное осложнение может доктор с помощью определения симптома Щеткина-Блюмберга – при надавливании в болезненном участке боль не усиливается, а при резком отпущении отмечается появление более выраженной боли.
Терапия заключается в применении консервативных методов – антибактериальная, дезинтоксикационная, симптоматическая; и хирургического дренирования гнойных очагов.
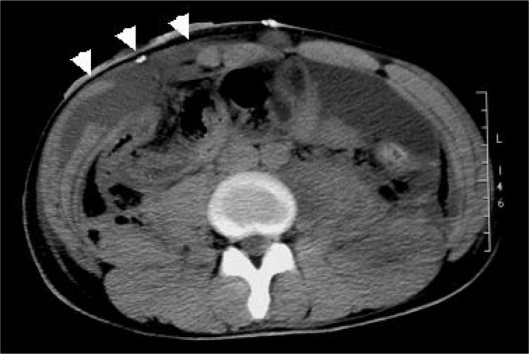
Аппендикулярный абсцесс
Гнойным, прогностически неблагоприятным, осложнением после аппендицита является образование абсцесса червеобразного отростка. Но гнойники могут образовываться не только непосредственно в отростке, а и в других местах брюшной полости. Это происходит, когда выпот в брюшную полость осумковывается и препятствует развитию распространенного перитонита. Часто такая картина возникает как осложнение после флегмонозного аппендицита.
Для диагностики данного осложнения и поиска абсцессов в брюшной полости рекомендуется использовать ультразвук и компьютерную томографию. Если абсцесс образовался как осложнение после аппендицита у женщин, характерна его тазовая локализация. Тогда его наличие можно определить при помощи вагинального обследования.
Выше представлено КТ при образовании абсцесса передней брюшной стенки.
Порядок операции
Применяют общий наркоз. Больной лежит на спине, стол несколько наклонен влево для отведения в сторону сальника и петель кишечника.
Тогда доступ к правой области более свободен. Введенным лапароскопом хирург сначала полностью осмотрит все внутренние органы – сальник, петли кишечника, желчный пузырь и печень, поверхность брюшины; у женщин – матку, маточную трубу и яичник.
Воспаленный отросток подлежит удалению. Для этого его и брыжейку пересекают, коагулируют или прошивают сосуды, отросток извлекается через троакар. При этом нельзя допускать его соприкосновения с другими органами. Отросток в специальном контейнере отправляется на гистологию.
В это время врачом повторно проводится ревизия брюшной полости для промывания поверхности брюшины антисептиками, на предмет кровотечения, аспирации патологических примесей: гноя, крови и фибрина.
Все это выводится через ирригатор. Дренажная трубка вставляется только по показаниям: периаппендикулярный абсцесс, перитонит.
В среднем вся операция занимает 30 минут. Если возникают осложнения, длительность увеличивается и может меняться последовательность. Например, при перитоните сначала удаляется выпот, а затем работают с отростком.
Через дренажную трубку также вводят антибиотики. После того как нужда в дренаже отпадает, его удаляют, и следов на коже не остается.
Гнойный перитонит и пилефлебит
Эти два вида осложнений возникают реже всего, но наиболее неблагоприятны для пациента. Перитонит как осложнение после аппендицита возникает лишь в 1 % случаев. Но именно эта патология является основной причиной смерти больных при аппендиците.
Самое редкое состояние при воспалении червеобразного отростка — это пилефлебит (септическое воспаление воротной вены). Как правило, он является осложнением после операции аппендэктомии, однако, может развиться еще до хирургического вмешательства. Характеризуется резким ухудшением общего состояния больного, высокой температурой, резко вздутым животом. Если повреждаются вены, которые проходят непосредственно в ткани печени, возникают желтуха, увеличение печени, развивается печеночная недостаточность. Наиболее вероятный исход такого состояния — смерть больного.
Опасность боли в правом боку или животе после аппендицита
Сохранение болей в правом боку после аппендицита длительное время – тревожный сигнал, который требует консультации врача. Обязательно обращают внимание не только на характер болей, но и на сопутствующие симптомы, общий соматический статус, возраст, текущий клинико-лабораторный анамнез. Опасность заключается в присоединении следующих симптомов, помимо сохранения или усиления болезненности:
- сохранение гипертермии;
- синдром «острого живота»;
- тяжелое расстройство стула: диарея, длительные запоры;
- общее недомогание;
- потливость;
- вынужденное положение тела, как при остром приступе.
При этом возможны вторичные осложнения, обусловленные самим хирургическим вмешательством или инфекционным процессом. Последнее часто происходит из-за несоблюдения медицинских рекомендаций, неадекватного послеоперационного ведения пациента.
Осложнения, возникающие в операционной ране
А теперь речь пойдет об осложнениях после операции аппендицита. Первая группа осложнений — те, что ограничены операционной раной. Наиболее часто развиваются воспалительные инфильтраты и нагноения. Как правило, возникают на 2-3 день после удаления аппендикса, при этом уже стихшая боль в ране возвращается вновь, повышается температура тела, ухудшается общее состояние.
На ране при снятии повязки визуализируется покраснение и набухание кожи, нити послеоперационных швов врезаются в кожу. При пальпации наблюдается резкая болезненность и прощупывается плотный инфильтрат.
Через несколько дней, если вовремя не вмешаться и не назначить лечение, инфильтрат может нагноиться. Тогда его границы становятся менее четкими, при пальпации можно обнаружить симптом флюктуации, который характеризует наличие гнойной жидкости. Если не вскрыть и не дренировать абсцесс, он может приобрести хроническое течение. Тогда состояние больного становится все хуже и хуже. Он худеет, истощается, аппетит снижен, возникают запоры. Через определенное время гнойный процесс из подкожных тканей распространяется на кожу и самостоятельно вскрывается. Это сопровождается вытеканием гноя и облегчением состояния больного.
Помимо перечисленных выше наиболее распространенных осложнений после удаления аппендицита, могут возникнуть такие патологические состояния в послеоперационной ране:
- гематома;
- кровотечение;
- расхождение краев.
Питание после операции
Обезжиренные кисломолочные продукты оказывают положительное влияние на ЖКТ в послеоперационный период
Разрешенные к употреблению в послеоперационный период продукты
Первые три дня после операции нужно кушать легкоусвояемую пищу желеобразной или жидкой консистенции. Разрешено употребление следующих продуктов:
- жидкие каши;
- жидкие пюре из картофеля, моркови, кабачка или тыквы;
- рисовый отвар;
- обезжиренный кефир или йогурт;
- отварное куриное мясо в протертом виде;
- куриный бульон;
- кисели и желе.
На четвертые сутки можно добавить в рацион черный или отрубной хлеб, печеные яблоки, супы-пюре с укропом и петрушкой, твердые каши, отварное мясо и нежирную рыбу. С каждым следующим днем можно будет все больше расширять список продуктов, постепенно возвращаясь к привычному для пациента режиму питания. Используемая диета должна быть в обязательном порядке согласована с лечащим врачом. Несмотря на некоторые ограничения, необходимо полноценное, богатое на витамины и минералы питание, так как в период реабилитации организм нуждается в дополнительной поддержке.
Из напитков разрешается отвар шиповника, свежевыжатые разбавленные соки, компоты, минеральная вода без газов, травяной или слабый черный чай. Количество потребленной за сутки жидкости должно в сумме составлять 1.5–2 л.
Запрещенные к употреблению в послеоперационный период продукты
При выписке из больницы в течение еще 14 дней послеоперационного периода после удаления аппендицита не допускается употреблять продукты, приводящие к раздражению слизистой, образованию газов и процессам брожения в кишечнике. Прежде всего, целью такой диеты является профилактика разрыва внутренних швов и снижение пищевой нагрузки на организм. Необходимо придерживаться таких правил:
- ограничить количество соли;
- не добавлять при приготовлении пищи специи и приправы, а также кетчуп и майонез;
- исключить из рациона бобовые;
- отказаться от сдобных хлебобулочных изделий;
- избегать употребления таких овощей, как помидоры, перец, капуста и сырой лук;
- полностью исключить копчености, колбасы, жирное мясо и рыбу.
В послеоперационный период также не разрешается употреблять газированные напитки, соки из винограда и капусты и любые напитки, содержащие в своем составе алкоголь.
Гематома
Неполная остановка кровотечения при операционном вмешательстве может вызвать образование гематомы. Наиболее частая локализация — в подкожном жире, реже возникает накопление крови между мышечными волокнами. На следующий день после операции больного беспокоят тупые боли в области раны, ощущение давления. Хирург при осмотре определяет припухлость справа внизу живота, болезненность при пальпации.
Для устранения процесса необходимо частично снять операционные швы и убрать сгустки крови. Далее швы накладываются вновь, сверху фиксируются повязкой. К ране прикладывается что-то холодное. В случаях, когда кровь еще не свернулось, можно сделать прокол и удалить гематому при помощи пункции. Главное в лечении гематомы — не откладывать его, так как рана может нагноиться, что ухудшит состояние больного и прогноз заболевания.
Какие мероприятия рекомендованы после аппендицита?
После аппендицита в течение 1-2 месяцев пациент должен придерживаться относительно простых и выполнимых ограничений. В выполнении они достаточно просты тем более, если учесть, что их игнорирование чревато достаточно неприятными и нежелательными последствиями.
Диета после аппендицита
После аппендицита самостоятельное потребление пищи разрешается с третьих суток от операции, но еда в этот период должна быть перетертой, кашеобразной. Разрешаются молоко и молочные кисели, жидкие каши (лучше на воде), куриный и овощной бульон, овощные пюре. Диетическое питание начинается с шестого дня. Некоторые особенности питания прописываются пациенту в первые 2-3 месяца после операции. Рацион питания влияет на состав микрофлоры кишечника и на активность его функций. Необходимо следовать таким принципам:
- дробное и частое питание, противопоказано одномоментное употребление крупных порций еды;
- пища не должна быть горячей или холодной, а лишь немного подогретой;
- полноценное питание, обеспечивающее организм всем спектром питательных веществ, витаминов и минералов, поскольку в восстановительном периоде требуется стимуляция и укрепление иммунитета;
- исключение продуктов, способствующих брожению и газообразованию в пищеварительном тракте; рацион питания не должен содержать бобовых, тяжелых животных жиров, любых сортов капусты, копченостей, маринадов и солений, не рекомендуется употребление алкогольных и газированных напитков.
При том что питание должно быть полноценным, с достаточным содержанием белков и исключением лишь тяжелых жиров, после аппендицита пациенту настоятельно рекомендуется следить за своим весом. Поскольку физическая активность в послеоперационный период существенно минимизируется, легко набрать лишний вес, что крайне нежелательно.
Для восстановления нормальной микрофлоры организму полезны молочные и кисломолочные продукты, обильный питьевой режим. Мясо и рыба в первые недели после аппендицита употребляться не должны, однако допустимы бульоны и перетерты мясные/рыбные фарши пюре. Если употребление клетчатки служит отличной профилактикой аппендицита, то в первую неделю после операции она наоборот нежелательна. Лучше отказаться от хлеба и хлебобулочных изделий, отличной их альтернативой могут быть хлебцы, где есть минимум клетчатки и углеводов. Благоприятно организмом воспринимаются овощи (морковь, свекла), бананы, от цитрусовых фруктов лучше отказаться. В тоже время для иммунизации организму необходим витамин С, который можно черпать из других продуктов питания или потреблять в таблетированном виде, равно как и другие витамины и витаминно-минеральные комплексы.
Окончание диеты после аппендицита не должно быть резким. Рекомендуется постепенно расширять рацион. Ни в коем случае не стоит резко срываться на ранее исключенные из рациона продукты. В целом послеоперационная диета не строга, а потому полезно будет следовать уже привычным за несколько месяцев правилам и в последующем. Это пойдет лишь на пользу организму.
Физическая активность после аппендицита
Минимальная физическая подвижность разрешается пациенту на следующий день после операции, но вставать с кровати рекомендуется лишь на третьи сутки.
В последующие 6 недель происходит сращение мышц, на фоне чего остается риск образования спаек и даже грыж. Категорически запрещается поднимание тяжестей и активные физические нагрузки. В то же время отмечается, что ежедневная ходьба небыстрым шагом по 2-3 километра в послеобеденное время способствует предотвращению спаек. Прописывается лечебная гимнастика. Примечательно, что наилучшее восстановление мышечной ткани происходит у тех лиц, кто до развития аппендицита вел активный образ жизни и поддерживал свое тело в тонусе.
Равно как и с диетой, наращивание физической активности после аппендицита не должны быть резким. Спустя несколько месяцев можно возвращаться к умеренным нагрузкам, постепенно дополняя лечебную гимнастику общими упражнениями.
Последствия удаления аппендикса для организма
Как уже отмечалось, аппендикс считается атавизмом. Для современного человека это рудиментарный орган, отсутствие которого существенным образом не отражается на функционировании организма и пищеварительной системы в частности. В то же время аппендиксом вырабатываются некоторые секреты и гормоны, здесь расположены лимфоидные образования.
Кровотечение
На фото в статье представлен один из видов оперативного устранения источника кровотечения — клипирование сосуда.
Грозным осложнением может быть кровотечение из культи червеобразного отростка. Сначала оно может никак себя не проявлять, но в дальнейшем возникают общие и местные признаки кровопотери.
Среди общих признаков выделяют такие симптомы:
- головная боль и головокружение;
- общая слабость;
- бледность кожи;
- холодный пот;
- снижение давления и уменьшение частоты сердечных сокращений при тяжелом кровотечении.
Среди местных проявлений данного осложнения после удаления аппендицита наиболее характерным симптомом является постепенно нарастающая боль в животе. Сначала умеренная и не сильно беспокоящая больного она свидетельствует о раздражении брюшины. Но если вовремя не остановить кровотечение, боль становится все сильнее, что может говорить о развитии разлитого перитонита.
При значительном накоплении крови в брюшной полости на осмотре хирург определяет неправильную форму живота. При перкуссии (постукивании по передней брюшной стенки) определяется тупой звук в местах скопления крови, приглушены перистальтические шумы кишечника.
Чтобы не пропустить данное осложнение и вовремя оказать помощь больному, необходимо регулярно проверять данные показатели:
- общее состояние пациента;
- артериальное давление и пульс;
- состояние живота, в том числе симптомы раздражения брюшины (наиболее распространенный и информативный — симптом Щеткина-Блюмберга).
Единственным возможным методом лечения в данной ситуации является релапаротомия, то есть повторное вскрытие брюшной стенки, определение источника кровотечения и остановка его хирургическим путем.
Симптомы осложнений после аппендицита, разновидности
Выделяют следующие разновидности осложненного течения послеоперационного периода:
| Ранние осложнения (в течение 14 суток после аппендэктомии) | Поздние (после 2 недель после оперативного лечения) |
| Раневые (гнойно-септические процессы, расхождение швов, кровотечение из раны | Раневые – грыжа после операции, лигатурный свищ, невриномы рубцов, келоидные рубцовые образования |
| Осложнения органов, расположенных рядом: кровотечение из брыжейки, несостоятельность культи аппендикса | Осложнения после аппендэктомии со стороны брюшной полости (абсцедирование, инфильтрация, воспаление культи) |
Другие осложнения представлены нарушением функции дыхания, сердечно-сосудистой и мочевыделительной систем.
Ранние осложнения
Ранние осложнения возникают в первые 14 суток после проведения аппендэктомии. К ним относятся:
| Раневые | В полости брюшины |
| 1. инфильтраты послеоперационной раны 2. нагноение 3. кровотечение 4. образование гематомы 5. эвентрация | 1. кровотечения из брыжейки 2. несостоятельность культи аппендикса 3. пилефлебит 4. перитонит |
Инфильтрация и нагноение раны
Самыми частыми осложнениями являются инфильтрат и нагноение послеоперационной ранки. Инфильтрат после удаления аппендицита появляется на 2 сутки. У больного отмечается гипертермия до 38-38,5ᵒС. В ранке ощущается боль, припухлость, покраснение. Во время прикосновения и пальпации пациент чувствует сильную боль.

Если не начать лечить инфильтрацию, воспаление после удаления аппендицита переходит в нагноение. В ране появляется плотное образование. Оно очень болезненно.
Терапию инфильтрации раны проводят антибактериальными средствами. Больному показан постельный режим, холод на живот, физиотерапия (УВЧ, лазеротерапия).
Если развилось нагноение и уплотнение в ране, больному производят иссечение гнойника, промывание раны и зашивание. Для предупреждения повторного нагноения больному назначают антибиотики после удаления аппендицита.
Гематома
Гематома может появиться на 2 сутки после оперативного вмешательства. Располагается образование в подкожно-жировой клетчатке. Пациент чувствует в области гематомы тупую боль или сдавление. При осмотре выявляется припухлость, болезненность слабой или умеренной интенсивности, зыбление (при пальпации чувствуется жидкость в телесной полости).
Терапия проводится при помощи частичного снятия шовного материала и удалении кровяных сгустков. Если образование представляет собой несвернувшуюся кровь, ее удаляют специальным шприцом. Если в течение 1 часа после выявления патологии не провести лечение, возможно нагноение кровяного сгустка, а также рубцевание передней брюшной стенки.
Эвентрация
Под эвентрацией понимают расхождение краев раны. Она наступает на 4-5 сутки сразу после снятия швов. Причиной состояния является сниженная регенерация тканей, гиповитаминоз, иммунодефицит, дренаж после удаления аппендицита.

Для предупреждения эвентрации необходимо снимать швы не ранее 7 суток. Только после 7 суток начинает формироваться соединительнотканный рубец. Швы у пациентов с плохой регенерацией снимают на 4-5 сутки и назначают мазь Метилурацил. Метилурациловая мазь стимулирует быстрое заживление, ускоряет процесс нарастания соединительной ткани в месте смыкания краев раны.
Кровотечение из раны
Кровотечение из раны возникает в первые дни. Причина этого состояния излишняя подвижность пациента, расхождение швов, постоянный кашель от анестезии. Чтобы устранить кровоточивость из ранки, нужно приложить холод. Сосуды в этом случае сужаются, и кровь начинает сочиться меньше.
Если эти мероприятия не помогают, доктор накладывает дополнительные швы в палате или в перевязочном кабинете. Помимо наложения швов и холода больному показаны перевязки и обработка ранки.
Кровотечение из брыжейки
Кровотечение из культи брыжейки считается редкой, но опасной патологией. Состояние относится к ранним осложнениям полости брюшины. На начальном этапе симптомов кровотечения не выявляется, так как потеря крови незначительная.
При выраженной кровопотере пациент отмечает боли в животе. Болевой синдром сначала слабый, а по мере увеличения крови в полости брюшины — усиливается. Если кровь, попавшая в брюшную полость, инфицируется, боль становится очень сильной. Пациент жалуется на тошноту, рвоту, вздутие живота, запор. Это признаки разлитого перитонита.
При выраженной кровопотере у пациента отмечается побледнение кожи, учащение сердцебиения, обложенность языка. Во время осмотра выявляются признаки раздражения брюшины. При перкуторном обследовании живота определяется жидкость в брюшной полости после аппендицита. Во время пальцевого обследования через прямую кишку обнаруживается болезненность тазовой брюшины.

При подозрении на кровотечение культи брыжейки больному показана операция. Проводят экстренную релапаротомию или повторную лапаротомию. Во время оперативного вмешательства купируют кровотечение, санируют полость брюшины.
Несостоятельность культи аппендикса
Эта патология выявляется в первые сутки после хирургических манипуляций. Риск развития несостоятельности культи высокий у пациентов, поступивших с деструктивной формой воспаления отростка. При этом состоянии изменяет форму аппендикс и слепая кишка.
Деформация и воспаление отростка и кишки затрудняет обработку культи во время вмешательства. Несостоятельность культи быстро приводит к каловому перитониту.
Больному показана экстренное хирургическое вмешательство (релапаротомия). Во время операции проводят санацию брюшной полости, формируют новую культю.
Пилефлебит
Пилефлебит представляет собой закупорку брыжеечной и воротной вены тромбом. Патология появляется из-за тромбоза брыжейки аппендикса. Болезнь выявляется на 1-2 сутки после удаления отростка.
Боли ощущаются в надчревной области или правом подреберье. Интенсивность болевого синдрома сравнима с почечной коликой. У больного выявляется желтушность слизистых глаз, кожи, гектическая температура, увеличение печени и селезенки. Смертность при заболевании практически 100%. Терапии пилефлебит поддается плохо.
Перитонит
Перитонит возникает чаще у пациентов с деструктивным воспалением отростка. Осложнение развивается на 1-3 сутки после типичной операции аппендицита. На 1-2 сутки отмечается боль в животе, интенсивность которой постепенно нарастает.
У пациента отмечается заостренные черты лица, сухой язык с коричневым налетом, живот вздут. При осмотре выявляются признаки раздражения брюшины. Суточное количество мочи снижается, стул задерживается.
При выявлении даже слабых симптомов перитонита больному показана релапаротомия с санацией брюшной полости, купированием очага воспаления или кровотечения, дренированием.
Поздние осложнения
Поздние осложнения чаше возникают через 14 суток после хирургической манипуляции, но могут появиться и раньше. Выделяют следующие осложнения:
| Раневые | В полости брюшины |
| 1. лигатурные свищи 2. воспалительные «опухоли» передней брюшной стенки 3. послеоперационные вентральные грыжи 4. келоидные рубцы 5. невриномы | 1. абсцессы 2. инфильтраты 3. воспаление культи 4. кишечная непроходимость |
Поздние раневые осложнения более опасны, чем ранние, поэтому требуют немедленной помощи:
- Лигатурный свищ – выглядит как канал, идущий от поверхности кожи внутрь брюшной полости. Появляется при расхождении краев ранки, нагноения, использования загрязненного шовного материала. У больного выявляется гипертермия, отмечается болевой синдром в области ранки и самого свища, отек и покраснение. Состояние требует оперативного лечения: удаления нагноившейся нити. Пациенту показана антибактериальная терапия и промывание раны.
- Воспалительные «опухоли» — представлены плотным образованием на передней брюшной стенке. Больному показана антибактериальная терапия.
- Вентральные грыжи – выглядят как выпячивание в месте разреза, возникает через 2-3 недели после аппендэктомии. Выпячивание образовано кишечником, большим сальником, склонно к ущемлению. При ущемлении возникает болевой синдром, тошнота, рвота, симптоматика кишечной непроходимости. Состояние требует оперативного лечения.
- Келоидные рубцы – выглядят как шрам на месте разреза, образование гладкое, выступает над поверхностью кожного покрова. Рубцы часто болезненны, сильно чешутся.
- Невриномы – разрастание нерва в месте его рассечения. Образование болезненно. При необходимости невриномы удаляются хирургически.
Помимо поздних раневых осложнений, есть еще и послеоперационные патологии брюшной полости. Симптоматика и лечение осложнений:
Динамическая непроходимость кишечника – нарушение перистальтики кишечника по причине паралича. У больного отмечается вздутие кишки, при нарастании которого возникает рвота (содержимым желудка, желчью, каловыми массами). Продолжительное вздутие способно повреждать стенки кишки, приводя к перитониту. При возникновении перитонита показана операция: санация полости брюшины.
Послеоперационный инфильтрат – расположен в илеоцекальном углу. Образование болезненное. Терапию проводят консервативно: снятие интоксикации, антибиотикотерапия, УВЧ, постановка пиявок.
Поддиафрагмальный абсцесс – находится между куполом диафрагмы и внутренними органами. В некоторых случаях располагается за брюшиной. Требует операции.
Абсцедирование дугласова пространства – появляется из-за стока патологического выпота в полость малого таза. У пациента отмечается нарушение мочеиспускания, тенезмы, боль внизу живота, гипертермия. Сначала проводится лекарственная терапия, а затем вскрытие образования. Если необходимо, ставят дренаж после аппендицита.
Межкишечные абсцессы – проявляются ознобом, учащением стула, болью в животе. У больного выявляются признаки раздражения брюшины. Терапия проводится консервативно и оперативно.
Осложнения после лапароскопии аппендицита
Современная медицина проводит оперативное лечение аппендицита при помощи эндоскопической аппаратуры. Методика подходит только для катарального и флегмонозного воспаления червеобразного отростка.
Перитонит требует отказа от лапароскопической операции и проведения открытой лапаротомии. Это объясняется тем, что при прорыве гнойного аппендикса по брюшной полости разливается гной. Во время оперативного вмешательства он смешивается с газом, который применяют хирурги для расширения брюшной полости. Возникает карбоксиперитонеум (смешение газа с гноем).
Это объясняется тем, что при прорыве гнойного аппендикса по брюшной полости разливается гной. Во время оперативного вмешательства он смешивается с газом, который применяют хирурги для расширения брюшной полости. Возникает карбоксиперитонеум (смешение газа с гноем).
К другим осложнениям лапароскопической операции по удалению аппендикса относят:
- нагноение троакарных ран;
- электротравма внутренних органов;
- инфильтрат и абсцесс в полости брюшины;
- электрический ожег купола слепой кишки;
- кровотечение в полости брюшины из культи аппендикса.
Инфильтрат и абсцесс: лечение
Как же проводить терапию наиболее частых осложнений после аппендэктомии?
Лечение инфильтрата начинают с новокаиновой блокады. Также назначают антибиотики, холод на место данного образования. Кроме того, хирург совместно с физиотерапевтом может назначить ряд процедур, например, УВЧ. Если применить все эти терапевтические мероприятия вовремя, выздоровление ожидается уже через несколько дней.
Если же медикаментозное лечение не помогает, состояние больного ухудшается, и появляются признаки образования абсцесса, необходимо обратиться к хирургическому вмешательству.
Если абсцесс не глубокий, а подкожный, необходимо снять швы, расширить края раны и удалить гной. Далее рану наполняют тампонами, смоченными раствором хлорамина или фурацилина. Если же абсцесс находится более глубоко в брюшной полости, что часто возникает при распознании гнойника спустя неделю после операции, необходимо выполнять повторную лапаротомию и удалять нагноение. После операции необходимо делать ежедневные перевязки с очищением раны раствором перекиси водорода, после образования на ране грануляции используют повязки с мазями, которые способствуют скорейшему заживлению.
Обычно данные осложнения не оставляют никакого следа, однако, при сильном расслоении мышц возможно образование грыж.
У женщин после аппендэктомии может развиться инфильтрат дугласова пространства, которое представляет собой углубление между маткой и прямой кишкой. Подход к лечению данного осложнения такой же, как и при инфильтрате другой локализации. Однако здесь можно добавить выполнение таких процедур, как теплые клизмы с фурацилином и новокаином, спринцевание.
Лечение
В ранний постоперационный период назначается длительный медикаментозный курс, направленный на исключение осложнений, улучшение качества жизни и восстановление организма.
Типичная схема:
- нестероидные противовоспалительные средства и другие простые анальгетики;
- спазмолитики для снижения тонуса гладкой мускулатуры;
- местные антисептические средства для обработки рубца;
- препараты для нормализации функций желудка (если после аппендицита болит желудок).
Антибиотикотерапия начинается сразу и продолжается в течение 7-10 суток после оперативного вмешательства. Обязательно корректируют диету для снижения пищеварительной нагрузки, нормализации формирования и эвакуации каловых масс. Естественный стул на следующие сутки после операции – важный критерий нормального восстановления.
Осложнения со стороны других органов и систем
В восстановительном периоде после операции могут возникнуть не только осложнения в послеоперационной ране, но и патологии других органов.
Так, в весенний период довольно частым является появление бронхитов и пневмоний. Основной профилактический метод — лечебная гимнастика. Ее нужно начинать как можно раньше после операции. Необходимо предотвратить пассивное лежание больного в кровати, так как это способствует возникновению застойных явлений в дыхательных путях. Больной должен сгибать и разгибать ноги, поворачиваться с боку на бок, выполнять дыхательную гимнастику. Для контроля регулярности и правильности выполнения упражнений в больнице должен быть методист. Если такового нет, контроль выполнения упражнений ложится на медицинскую сестру отделения.
Если же легочные осложнения все-таки развились, назначается антибиотикотерапия, отхаркивающие и разжижающие мокроту средства (муколитики).
Одним из осложнений после лапароскопии аппендицита является острая задержка мочи. Его причиной может быть как рефлекторное влияние на нервные сплетения со стороны операционной раны, так и элементарно неумение больного ходить в туалет в лежачем положении. И хотя хирурги регулярно интересуются у больного о его мочеиспускании, некоторые больные стесняются говорить о такой проблеме. В таких случаях хирург может наблюдать напряжение и вздутие в надлобковой области, у больного появляются боли внизу живота.
После катетеризации и удаления содержимого мочевого пузыря все жалобы исчезают, состояние больного улучшается. Однако прежде, чем прибегнуть к катетеризации, можно использовать более простые методы. Иногда уже после постановки пациента на ноги происходит акт мочеиспускание. Также возможно применение грелок на низ живота, мочегонных.
Правила поведения пациента
После удаления воспалённого аппендикса пациент должен правильно и ответственно выполнять рекомендации врача. При подозрении на послеоперационные осложнения требуется помощь квалифицированного специалиста. Чтобы замедлить воспалительный процесс и снизить болевые ощущения, на живот больного следует положить грелку с холодной водой, а не с тёплой. Нагретая вода только усилит воспаление.
После операции обезболивающие средства в большом количестве принимать не стоит. Это затруднит диагностику возможно возникших осложнений. Небезопасно в этих случаях и употребление слабительных. А вот витамины употреблять просто необходимо, они ускорят лечение. Если есть возможность, лучше после операции принимать антибиотик, рекомендованный врачом, лишние 1-2 дня для профилактики осложнений.
Купаться нельзя. Поэтому поездку на море следует отложить. Баня на время послеоперационного периода тоже находится под запретом. Пока не сняты швы, ванна и душ тоже запрещены. Мыться, находясь всем телом в воде, не стоит. Врачи при необходимости разрешают делать обтирание водой туловища, умывание, мытьё ног и рук.
Область шва не следует трогать, а особенно массировать и растирать. Заживает он быстрее, если за ним вести правильный уход.
Курить сигареты строго запрещено. Курение затруднит нормальный процесс течения анестезии и сделает проблематичным реабилитационный период.
Уже спустя 6-10 часов пациенту следует работать с правильным переворачиванием и умением сидеть. В первое время ему необходима помощь близких людей и медицинского персонала. Специалисты рекомендуют ходить и вставать через 20-24 часа.
После выписки из больницы пациенту следует продолжить выполнение следующих правил:
- Много не кушать;
- Ежедневно двигаться, выполнять лечебную гимнастику и гулять на короткие расстояния;
- Не поднимать тяжести 3-4 месяца;
- После водных процедур обрабатывать место швов бриллиантовым зеленым;
- Использовать бандаж (особенно пациентам с избыточной массой тела).
Это поможет добиться скорого окончания реабилитационного периода.
Аппендицит – болезнь очень распространённая. Главное – вовремя обратиться к доктору и соблюдать все его рекомендации. Помните, что ваша жизнь находится не только в руках врача, но и в ваших руках. Оберегайте себя.
Послеоперационные осложнения у детей
К сожалению, в данное время определяется высокий процент осложнений после аппендэктомии у детей возрастом до трех лет — от 10 до 30 %. Это связано с более тяжелым течением заболевания и частым развитием деструктивных форм аппендицита.
Среди осложнений после аппендицита у детей наиболее часто возникают следующие патологические состояния:
- инфильтрат и абсцесс;
- послеоперационная непроходимость кишечника вследствие образования спаек;
- кишечный свищ;
- затяжное течение перитонита.
К сожалению, у детей более часто по сравнению со взрослыми возникает летальный исход после операционного вмешательства.
И хотя осложнения после аппендицита все реже возникают в наше время, важно знать их симптомы для предотвращения опасных последствий.
Типы последствий острого аппендицита
Развитие аппендицита имеет несколько стадий. Первая – катаральная, продолжается на протяжении 48 часов после начала воспаления аппендикса. Серьезных нарушений на этом этапе не бывает. Опасные последствия, которые могут привести к смерти, возникают уже на второй стадии – флегмонозной. Ее продолжительность 3-5 суток. В это время происходит гнойное расплавление червеобразного отростка.
Если не провести операцию, то риск смерти максимален. Осложнения делятся на следующие группы:
| Тип последствий | Описание |
| Дооперационные | Формируются в результате продолжительного течения заболевания. |
| Интраоперационные | Возникают во время проведения операции. |
| Послеоперационные | В эту группу входят последствия, связанные с послеоперационными повреждениями или заболеваниями соседних органов. |























