03.03.2015 00:00
Простейшими инструментальными методами, которые может использовать врач уже в приемном отделении, есть рентген-исследование и ультразвуковое исследование (УЗИ) поджелудочной железы (ПО). Наиболее доступным и распространенным методом диагностики в панкреатологии является УЗИ ПО. По данным различных авторов, чувствительность традиционного УЗИ при заболеваниях ПО составляет 37-94%, специфичность — 48-100%. Традиционное УЗИ чаще всего ПО обнаруживает такую патологию, как панкреатит поджелудочной железы
по характерным признакам: изменение формы, контуров, размеров, эхогенности, внутренней структуры, проточной системы ПО, сжатие или деформацию сосудов, расположенных в зоне органа, наличие кисты и псевдокисты органа.
Выявление и интерпретация данных симптомов затруднены забрюшинным расположением ПО, метеоризмом, который часто сопровождает панкреатит, нередко — чрезмерным развитием подкожно-жировой клетчатки, неспецифичностью эхографической картины, характерной для диффузных изменений поджелудочной железы . Особенно плохо визуализируется хвост ПО. Форма ПО при панкреатите поджелудочной железы меняется редко, за исключением псевдотуморозных форм хронического панкреатита (ХП), когда после предварительного панкреонекроза происходит непропорциональное увеличение головки органа по сравнению с его телом и хвостом. При оценке контуров ПО необходимо учитывать, что на начальной стадии ХП и даже при остром панкреатите (ГП) ее контуры остаются четкими, ровными, хорошо отделяют орган от окружающих тканей. В то же время у 10-20% здоровых людей контур ПО по данным УЗИ имеет зернистый характер. Обычно при панкреатитах поджелудочной железы контуры ПО нечеткие, неровные (волнистые, зубчатые) что связано с инфильтрацией окружающей клетчатки, неравномерностью фиброзного замещения железистой ткани, особенно в поверхностных отделах.
Выраженность изменений контуров ПО зависит от степени развития парапанкреатической клетчатки. Это связано с различным соотношением эхогенности ПО и окружающих тканей. Увеличение размеров ПО при ХП оказывается редко в связи с тем, что инфильтрация и отек ее ткани имеют место на фоне атрофии и склерозирование паренхимы, в отличие от ГП, при котором ПО увеличивается в 90% случаев. В этом отношении при ХП более информативным является динамическое наблюдение со сравнением ультразвуковой картины в период ремиссии и при обострении ХП. Имеющийся в литературе разброс данных даже при нормальных размерах ПО связан с тем, что у молодых людей размеры ПО больше, чем у пожилых людей, так как с возрастом постепенно происходит ее атрофия.
При значительном увеличении ПО стоит думать об опухоли. На поздних стадиях ХП при прогрессировании атрофии ацинусов и фиброза ткани обнаруживают уменьшение размеров ПО. Особенно выражен субъективизм ультразвуковой диагностики панкреатитов при оценке эхогенности ПО, причем для ГП характерно снижение эхогенности (отек и инфильтрация органа), а для ХП — повышение эхогенности (фиброз).
Нередко после прохождения ультразвуковой диагностики органов брюшной полости, пациенты слышат в заключении о том, что контуры поджелудочной железы нечеткие неровные и эхогенность повышена.
Не всегда такое заключение свидетельствует о грубой патологии. В ряде случаев, этот признак транзиторный и через некоторое время проходит.
Но оставлять без внимания такое состояние нельзя.
Любые подозрительные состояния требует детального изучения и диагностики, в том числе и заключение о том, что контуры поджелудочной железы неровные и нечеткие.
Ультразвуковая диагностика наиболее популярный, абсолютно неинвазивный метод исследования и диагностики многих органов, и даже систем.
Это возможность есть благодаря явлению эхогенности. Она представляет собой возможность органов к отражению ультразвука, направленного от датчика.
Любой орган характеризируется определенной плотностью и структурой. По структуре орган может быть однородным и неоднородным. Равномерно эхогенным является однородный по структуре элемент.
Гиперэхогенность может означать повышение плотности исследуемого органа. Если неровный контур края поджелудочной железы возникает на УЗИ, то часто это подтверждает фиброзные изменения органа.
Когда эхогенность становится пониженной
Ситуации, когда при ультразвуковом исследовании (УЗИ) эхогенность поджелудочной железы пониженная, могут наблюдаться в случаях диффузных и/или ряда очаговых ее изменений. В комплексе сонографии органов ЖКТ способность отражать ультразвук панкреатическими тканями определяется в сравнении с печеночными и структурами желчного пузыря. Отдельно поджелудочная железа (ПЖ) для определения этого показателя не обследуется.
Уменьшение регистрации сигнала на мониторе или сонограмме, воспринимаемое визуально в виде затемнения, обозначается снижением эхогенности.
Диффузные (распространенные) изменения затрагивают всю железу. Затемнение просматривается равномерно. В структуре ПЖ могут проявляться участки нормального отраженного сигнала, относящиеся к органу и не являющиеся патологическими.
Элементы с усиленным эхо-ответом должны рассматриваться как нарушения. Контуры железы при распространенной гипоэхогенности будут либо четкие, либо едва различимы на фоне окружающих структур.
Гипоэхогенная поджелудочная железа
Очаговые участки пониженной эхогенности просматриваются, как затемнения или почти черные образования. Численность варьируется. Контуры их визуализируются четко или могут быть размыты и неоднородны. Фон основной панкреатической ткани также изменчив: уменьшенный, нормальный или усиленный эхо-ответ.
Функциональные и, тем более, анатомические изменения в железе, способные понизить интенсивность отраженного ультразвука, имеют в своей основе развитие отека или замещения нормальных тканей.
Когда возникает подобное изменение органа?
В норме, поджелудочный край и сама паренхима органа четко визуализируются на УЗИ.
Но при некоторых обстоятельствах и заболеваниях может визуализироваться волнистый участок, фестончатый угол и другие изменения эхогенности.
Изменения могут быть локальными или диффузными.
Это является диагностическими важными критериями, для установки распространенности процесса.
Диффузный процесс возникает при следующих патологиях:
- Отечность или анасарка. Отеки внутренних органов возникают при непосредственном их поражении или при вторичном поражении в случае патологии другого органа. Первичный отек возникает в случае панкреатита. В таком случае, отечность является показанием к немедленному началу лечения. Анасарка представляет собой отёк всех органов и тканей организма, в том числе и поджелудочной железы. Такое состояние развивается вследствие тяжелого поражения сердечно-сосудистой системы или почечного фильтра.
- Аутолиз или некроз ткани поджелудочной железы. Это крайне тяжелая хирургическая патология, которая является следствием острого панкреатита. В этом случае погибают все функциональное активные клетки органа, и поджелудочная железа четко не дифференцируется. Аутолиз сопровождается выбросом в кровоток большого количества ферментов. При анализе крови врач отмечает, как повышается ферментная активность крови.
- Жировое перерождение ткани поджелудочной железы. При этом происходит замещение активных клеток неактивной жировой тканью. Процесс является хроническим и не сопровождается тяжелой симптоматикой.
- , несмотря на свою гормональную природу, имеет патологический очаг. При первом типе болезни происходит гибель островком Лангерганса диффузно по всему органу и это заметно на ультразвуковом исследовании.
- Опухолевый процесс органа или метастатическое поражение. Для исключения онкологического заболевания следует провести ряд других исследований, таких как МРТ, КТ и биопсия.
- Поликистозное поражение или множественные кисты органа. Такие патологические очаги имеют четкий вид и ровный край, явления характерны для такого заболевания, как муковисцидоз.
Дополнительно возникновение диффузного процесса наблюдается при фиброзе органа. Данный недуг характеризуется не только высокой эхогенностью, но и уменьшением самого органа.
Диффузное ослабление эхогенности
Нарушение текстуры всего органа, сопровождающееся изменением структуры и размера. Нередко, при распространенном процессе в поджелудочной железе меняется строение ее протоков. Такие признаки регистрируются при воспалениях:
- острый панкреатит – структура нечеткая, контуры неровные, размеры увеличенные, могут определяться мелкие участки полного отсутствия эхо-сигнала (кровоизлияния, некроз);
- хронический панкреатит (ранняя стадия) – структура относительно четкая, контуры неровные, размеры нормальные или немного их превышающие.
В процессе развития и течения воспаления, отек рассматривается как основной фактор, понижающий эхогенность железистой ткани. Увеличение содержания межтканевой жидкости приводит к ослаблению отражения ультразвука.
Причины патологического изменения уровня эхогенности
Понизить, или повысить уровень способностей поджелудочной железы отражать ультразвук, может развитие следующих патологических процессов:
- образование кальцинатов, или как их еще называют мелких камушек в поджелудочной,
- развитие панкреатической патологии (воспалительного процесса) острого, либо хронического характера течения,
- развитие новообразования опухолевидного характера,
- прогрессирующая стадия липоматоза, то есть замещения железистых здоровых тканей железы жировыми тканями,
- некротическое поражение паренхимы.
Развитие каждого из выше представленных патологических процессов, отчетливо видно на экране монитора диагностического аппарата.
Очаговые процессы
Множественные мелкие участки пониженной эхогенности могут свидетельствовать об остром панкреатите, перенесенном ранее. Они образуются на местах бывших кровоизлияний, где далее произошло разрушение ткани (некроз). Общее отражение ультразвука железой может быть также несколько снижено.
Единичное локальное ослабление эхо-сигнала свойственно:
- острому ограниченному панкреатиту – воспаление в каком-либо отделе ПЖ (головка, тело, хвост) с увеличением только этого сегмента и изменением в нем эхо-параметров;
- хроническому очаговому панкреатиту – неоднородная эхо-структура какого-либо отдела железы («мраморность» ткани);
- новообразованию.
В отношении опухолей и опухолеподобных изменений необходимо учитывать, что сонография не является полностью достоверным методом выявления, тем более, идентификации таких процессов. Но, предварительно, врач-специалист УЗ-диагностики может отличить доброкачественное образование от рака.
Киста имеет четкие границы, представленные капсулой, – визуализируется в виде ободка с повышенным эхо-сигналом, окружающим область полного отсутствия отражения ультразвука. Одной из основных ее характеристик является то, что это такое образование, которое имеет правильную округлую или овальную форму.
У псевдокисты капсулы нет. Видимая на мониторе аппарата и сонограммах область затемнения на границах постепенно переходит в эхо-структуры неизмененной железы.
Злокачественная опухоль характеризуется как однородное гипоэхогенное образование, имеющее волнистые границы с тонкими выростами по периферии. Имеется изменение контуров самой железы – на участке опухоли определяются выпячивания.
Опухоль головки поджелудочной
Высокий класс аппаратуры УЗ-сканирования и соответствующая квалификация специалиста позволяют снизить диагностические ошибки при ранних выявлениях опухолей. Этому способствует и наличие доплеровского режима, оценивающего наличие кровотока в образовании и его интенсивность.
Существует ряд причин, при которых эхогенность поджелудочной железы может быть пониженная, но это не связано с перечисленным выше. Ухудшается визуализация при недостаточной или неправильной подготовке пациента к исследованию, наличии избыточного веса. Кроме того, в случае изолированного заболевания печени по сравнению с ней нормальный эхо-сигнал от поджелудочной железы будет определяться как ослабленный.
Нажимайте на картинки, чтобы увеличить.
Что такое местная гиперэхогенность?
Уровень сахара
Местная гиперэхогенность представляет собой участок поджелудочной, имеющий высокую акустическую плотность.
Такое явление возникает в нескольких случаях.
Наиболее характерным является появление местной гиперэхогенности при формировании одиночной кисты, как проявления воспаления железы в анамнезе.
Помимо этого, такой результат исследования получают в при выявлении в органе:
- кальцификата, участок петрификации, что обусловлено хронизацией патологии;
- участка скопления жировой ткани;
- фиброзного узла, сформированного вследствие заживления некротизированной ткани;
- панкреолитиаза, или камнеобразование в органе;
- рака поджелудочной железы, имеет бугристую поверхность;
- вторичных метастаз при онкологии, чаще являются размытыми при визуализации;
- абсцесса при инфекционном гнойном процессе другого органа, часто возникает при стафилококковом сепсисе.
Последнее состояние является очень опасным для организма.
Стоит помнить, что заключение УЗИ-специалиста не являются диагнозом и требуют дальнейшей консультации доктора. К таким аномалиям относится изменения формы, добавочный участок, удвоение органа. Наиболее важным параметром является сохранение экзокринной и эндокринной активности органа.
Кроме всего прочего, бывают врожденные аномалии органа, которые не несут опасности для жизни больного.
В легочной ткани контуры теней
, т. е. очертания их границ, в основном зависят от степени контраста тени с окружающим воздушным легочным фоном. Резкость очертания границ теней и контрастность в значительной степени связаны друг с другом. В этом смысле любую тень (особенно в легочной ткани) нужно рассматривать исходя из двух характеристик: формы контуров и их резкости.
По форме контуры тени
подразделяют на ровные, неровные, зазубренные, полициклические, фестончатые, волнистые и т. д. По резкости тени в легких характеризуют как резкие и нерезкие (четкие или нечеткие).
Ровные контуры тени
, как правило, бывают при кистозных образованиях в легочной ткани (), доброкачественных образованиях, при злокачественных опухолях в экспансивной стадии роста, метастазах рака, туберкуломах, междолевых осумкованных плевритах и т. д. На прямой обзорной рентгенограмме грудной клетки справа в области хвостовой части корня выявляется интенсивная, гомогенная тень с четкими бугристыми контурами и отходящей от него тяжистостыо. Центральный рак правого легкого Неровные, изъеденные контуры
нередко выявляются в стадии инфильтрации многих процессов в легочной ткани: доброкачественная опухоль при начавшемся перерождении в злокачественную в связи с инфильтрацией в окружающую ткань теряет ровность контуров; такая же картина бывает при развитии воспалительных процессов вокруг туберкуломы, при кистозных процессах, в фазе перехода затянувшихся процессов в хроническую форму и т. д.
Полициклические контуры теней
бывают обусловлены или наслоениями отдельно расположенных очагов или фокусов затенения (многокамерная киста, артериовенозная аневризма), или конгломератами. При конгломератах имеется в виду слияние отдельных очагов с образованием более крупной и компактной группы тенеобразовании. Во всех случаях при полициклических фигурах теней будут выявляться фестончатые, бугристые контуры с различной степенью очерченности границ. Появление полициклических контуров вокруг стабильных процессов свидетельствует о динамике заболевания, о прогрессировании или о начале стихания экссудативных реакций.
Волнистые контуры
часто бывают при периферическом раке, многокамерной ретенционной кисте, альвеококкозе, туберкуломе и др., т. е. в основе их опять будут наложения или слияния узелковых или отдельных образований.
Резкость (четкость)
, нерезкость (нечеткость) контуров обусловлены только одним фактором — контрастностью тени и окружающей ткани. Если контуры четкие — это часто свидетельствует о стабильности процесса. Нерезкость контуров говорит о наличии воспалительного явления, об обострении процесса и начале перифокальной реакции.
Резкость контуров тени
— единственный, достоверный критерий для диагностики туберкулезных каверн. Действительным проявлением полости распада является резкость внутренних границ стенки каверн. Контуры окна каверны никогда не повторяют очертаний наружной ее стенки.
Нажимайте на картинки, чтобы увеличить.
Кисты поджелудочной железы на УЗИ
Единичные небольшие простые кисты встречаются как случайные находки в здоровой поджелудочной железе. При хроническом панкреатите небольшие простые кисты весьма распространены. При подозрении на кисту, обратите внимание на усиление контура дальней стенки и эффект усиления сигнала в тканях позади. Простые кисты изолированы от паренхимы гладкой тонкой стенкой. Внутри не должно быть никаких перегородок или неровностей стенки, содержимое кисты анэхогенное. Простые кисты всегда доброкачественные. Но, если киста не очевидно «простая», требуется дальнейшее исследование.
| Фото. Простые кисты поджелудочной железы на УЗИ. А, Б — Одиночные простые кисты в области тела (А) и шеи (Б) поджелудочной железы с тонкой гладкой стенкой и анэхогенным содержимым. В — Классические признаки хронического панкреатита: главный панкреатический проток расширен на фоне атрофии паренхимы, контур железы неровный с зазубринами, в паренхиме обызвествления и маленькие кисты. | |
|
|
Важно. Часто встречаются простые кисты поджелудочной железы, но не забывайте про кистозные опухоли. Рак является самым опасным заболевания поджелудочной железы.
Есть два вида кистозных опухолей поджелудочной железы: доброкачественная микроцистная аденома и злокачественна макроцистная аденома. Микроцистная аденома состоит из множества мелких кист и на УЗИ выглядит как плотное образование. Макроцистная аденома, как правило, включает менее пяти кист размером более 20 мм. Иногда в таких кистах можно разглядеть полипоидные образования.
Острый панкреатит на УЗИ
Острый панкреатит — это тяжелое осложнение желчнокаменной болезни или следствие токсического воздействия, например, алкоголя.
Легкий панкреатит не видно на УЗИ (КТ более чувствительный метод). Тяжелый панкреатит легко определяется ультразвуком. Когда необычайно ясная и контрастная поджелудочная железа выделяется на фоне окружающих тканей, можно предположить отек паренхимы и окружающей жировой клетчатки. Если вокруг поджелудочной железы, вдоль желудка, в воротах печени и селезенки просматривается тонкий слой свободной жидкости, можно с уверенностью диагностировать панкреатит.
| Фото. Острый панкреатит на УЗИ: А — Отек паренхимы поджелудочной железы (р), контур железы необычайно ясен, небольшое скопление жидкости по границе (стрелки). Б, В — Скопление жидкости по контуру тела поджелудочной железы, тонкий ободок жидкости по ходу селезеночной вены (стрелки), паренхима неоднородная, окружающая клетчатка гиперэхогенна — отек и воспаление, расширен общий желчный проток (В). В этом случае надо исключить желчнокаменную болезнь. | ||
|
|
Почти все опухоли поджелудочной железы гипоэхогенные по сравнению с нормальной поджелудочной железой. Только по ультразвуку невозможно различить очаговый панкреатит и опухоль поджелудочной железы. Опухоль и панкреатит могут сочетаться.
| Фото. Острый панкреатит на УЗИ: Поджелудочная железа необычайно контрастна на фоне гиперэхогенных окружающих тканей, тонкая полоса жидкости по контуру (А), в хвосте гипоэхогенный очаг (Б), в воротах селезенки жидкость (В). Гипоэхогенный хвост можно ошибочно принять за опухоль. | ||
|
|
В тяжелых случаях панкреатита панкреатическая жидкость переваривает окружающие ткани, образуя псевдокисты. Такие кисты могут быть единичными или множественными. Они могут увеличиваться в размерах и разрываться.
На УЗИ псевдокисты определяются как овальные или округлые гипоэхогенные образования с четкими контурами. В ранних фазах формирования кисты она представляет собой полужидкое образование и имеет сложную эхоструктуру с внутренними отражениями и нечеткими контурами. Позднее, вследствие аутолитических процессов и осаждения взвеси из крови и гноя, появляются четкие признаки жидкого содержимого и формируется ложная капсула с ровными стенками. Нередко происходит инфицирование псевдокист, тогда могут определяться внутренние эхоструктуры или тонкие нежные перегородки. При обнаружении кисты важно проследить связь кисты с протоком, так как это важно для определения лечебной тактики. Когда псевдокиста размером более 10 см, возникают трудности в определении ее источника.
| Фото. А — Большая псевдокиста между головкой поджелудочной железы и печенью после перенесенного панкреатита. Б, В — Тяжелый некротический панкреатит продольный (Б) и поперечный (В) срезы: обширный некроз, плавление окружающего жира в области хвоста, скопление жидкости вокруг железы. | ||
|
|
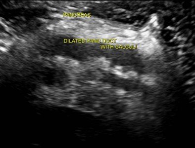
Кальцификаты в поджелудочной железе на УЗИ
Важно. Если есть дилатация протока поджелудочной железы, следует поискать камни в протоке поджелудочной железы и в общем желчном протоке.
Кальцификаты внутри поджелудочной железы могут давать акустическую тень, однако если они имеют маленькие размеры, то выглядят отдельной яркой эхоструктурой без акустической тени. При хроническом панкреатите кальцификаты распределены диффузно по всей поджелудочной железе. Камни в протоке располагаются по ходу протока. Желчные камни в дистальном холедохе могут быть oшибочно приняты за кальцификаты в поджелудочной железе. Кальцификаты хорошо видно на КТ, а для необызвествленных камней предпочтительно МРТ или УЗИ.
| Фото. А — В расширенном протоке небольшой камень. Б — В расширенном протоке поджелудочной железы ряд из нескольких камней с затенением позади. В — У больного с хроническим панкреатитом огромные камни в расширенном протоке. Обратите внимание на интенсивное затенение позади. | ||
|
|
| Фото. А, Б — Кальцификаты в паренхиме поджелудочной железы у больных с хроническим панкреатитом. Некоторые кальцификаты имеют тень. В — Мальчик 5-ти лет с хроническим наследственным панкреатитом: обызвествления (маленькие стрелки) и дилатация протока поджелудочной железы (большая стрелка). C — слияние верхней брыжеечной и селезеночной вен. | |
|
|
Расширенный проток поджелудочной железы на УЗИ
Внутренний диаметр нормального панкреатического протока менее 3 мм. Проток лучше визуализируется при поперечном сканировании в средней трети тела поджелудочной железы. Для того чтобы убедиться, что вы обнаружили именно проток, необходимо увидеть ткань поджелудочной железы с обеих сторон от него. Селезеночная вена сзади или стенка желудка спереди могут быть ложно интерпретированы как панкреатический проток.
Стенки протока поджелудочной железы должны быть гладкими, а просвет чистым. Когда проток расширен, стенки становятся неровными; сканируйте не только головку поджелудочной железы, но также и весь билиарный тракт.
Основные причины расширения панкреатического протока: опухоль головки поджелудочной железы или ампулы фатерова соска (сочетаются с желтухой и дилатацией билиарного тракта); камни общего желчного или панкреатического протока; хронический панкреатит; послеоперационные спайки.
| Фото. Мужчина с инсулинзависимым сахарным диабетом жалуется на потерю веса и боли в животе несколько месяцев. На УЗИ расширеный общий проток поджелудочной железы с неровной стенкой. При дальнейшем осмотре хорошо видно в протоке кальцификаты с тенью позади (В). | ||
|
|
|
Причины повышенной эхогенности поджелудочной железы
Гиперэхогенные линейные включения в железе могут говорить о многих патологиях. Рассмотрим их:
- Липоматоз железы – патология, когда железистые клетки частично или полностью замещаются жировыми клетками. Жировые клетки содержат меньше жидкости чем железистые. Отсюда и результат того, что данные клетки поглощают меньше ультразвуковых волн, что и выявляется на УЗИ. Еще одним признаком липоматоза является то, что при наличии повышенной эхогенности, размеры поджелудочной железы остаются в норме;
- Панкреатит – воспалительный процесс поджелудочной железы, которая на УЗИ выдает себя уплотнением тканей железы и неоднородной структурой;
- Наличие опухоли также приводит к плохой проходимости ультразвуковых волн. На аппарате, кроме изменения эхогенности, визуализируются неровные и нечеткие контуры поджелудочной железы. Обычно образование, если имеет злокачественный характер, уже имеет яркую клиническую картину: человек стремительно худеет, нарушаются процессы пищеварения, понос сменяется запором;
- Панкреонекроз – заболевание, которое приводит к гибели клеток поджелудочной железы. На мониторе, в процессе ультразвуковой диагностики, визуализируется участок, имеющий светлый оттенок;
- Сахарный диабет, хроническое заболевание, которое может приводить к дистрофии тканей органа. Сама болезнь не диагностируется по УЗИ, но приводит к тем или иным изменениям в тканях, что и можно обнаружить при данном виде диагностики;
- Фиброз паренхимы – заболевание, когда железистые ткани поджелудочной железы замещаются плотной соединительной тканью;
Врачи по характеру отображения ультразвуковых волн могут судить о том, какая именно болезнь поджелудочной железы у человека присутствует. Считается, что очаговое повышение плотности органов является признаком вышеперечисленных патологий. При диффузном же характере эхогенности, уплотнение органов носит временный характер. Рассмотрим причины диффузного повышения плотности:
- Из-за перенесенных вирусных или бактериальных инфекций (грипп, пневмония), стенки поджелудочной железы, а также других органов, могут уплотняться и отображаться на УЗИ повышенной эхогенностью;
- Если человек перенес пищевое отравление, или изменил свои привычки к еде. Стал злоупотреблять жирной, пряной пищей. Это является дополнительной нагрузкой на поджелудочную железу, так как ей приходится в большом количестве вырабатывать секреты для пищеварения, что и может привести к уплотнению органа;
- Изменение образа жизни, перенесенный стресс также могут способствовать временному повышению эхогенности органа;
- По наблюдениям специалистов, эхогенность некоторых органов увеличивается в определенные времена года. Чаще весной и осенью;
- На УЗИ чаще всего рекомендуется ходить на голодный желудок, так как прием пищи, особенно обильный, может исказить результаты и также показать повышенную эхогенность.
Специалисты не могут спутать серьезную патологию с временными изменениями в эхогенности поджелудочной железы, так как изменения эти умеренны и не столь существенны по сравнению с первыми.
Опухоли поджелудочной железы на УЗИ
В большинстве (50-80%) случаев опухоль поражает головку поджелудочной железы. Опухоли головки сдавливают общий желчный проток. При раке контур поджелудочной железы нечеткий, характерно локальное увеличение или выбухание железы, иногда внедряющееся в окружающую клетчатку в виде языков или псевдоподий.
В большинстве случаев опухоль поджелудочной железы — это гипоэхогенное образование, почти лишенное внутренних эхоструктур. Однако встречаются опухоли с диффузно разбросанными эхосигналами и с эхосигналами высокой интенсивности в центре при их отсутствии на периферии. Несмотря на то что граница между опухолью и остальной паренхимой железы нечеткая, ее всегда можно приблизительно провести за счет разности в эхогенности нормальной ткани и опухолевого очага.
Хотя гипоэхогенная структура опухоли, особенно при отсутствии мелких участков повышенной плотности в ней, напоминает таковую при кистах, отсутствие эффекта дистального усиления позволяет исключить жидкостный характер образования. Для кист, кроме того, характерна гораздо более ровная и четкая граница.
| Фото. Карцинома головки поджелудочной железы (стрелка): расширены общий желчный проток (А) и проток поджелудочной железы (Б), гипоэхогенная опухоль окружает верхнюю брыжеечную вену (В). | ||
|
|
При опухолях головки поджелудочной железы очень часто расширен общий желчный и панкреатический проток, в отличие от хронического панкреатита стенки его ровные и неуплотненные.
Важно. Визуализация главного панкреатического протока в пределах гипоэхогенной зоны свидетельствует в пользу локального отека и против опухоли.
Иногда при раке поджелудочной железы выявляют типичные признаки хронического панкреатита, а также псевдокисты дистальнее места опухолевой обструкции. Это следствие обструкции. Внутрипеченочные метастазы, увеличенные чревные, перипортальные и забрюшинные лимфоузлы свидетельствует в пользу рака.
| Фото. Карцинома головки поджелудочной железы: контур головки неровный за счет объемного гипоэхогенного образования, паренхима тела очень тонкая (атрофия), расширен панкреатический (А) и общий желчный (Б) протоки, в воротах печени большой округлый лимфоузел (В). | ||
|
|
| Фото. Большой лимфоузел (стрелка) рядом с поджелудочной железой можно ошибочно принять за опухоль головки. Увеличенные брыжеечные лимфоузлы округлой формы, гипоэхогенные и без центрального рубчика, что указывает на их злокачественность. | ||
|
|
| Фото. Большая нейроэндокринная опухоль(стрелки) поджелудочной железы с обызвествлением и метастазами в печени (В). | ||
|
|
Берегите себя, Ваш Диагностер!
Весь контент iLive проверяется медицинскими экспертами, чтобы обеспечить максимально возможную точность и соответствие фактам.
У нас есть строгие правила по выбору источников информации и мы ссылаемся только на авторитетные сайты, академические исследовательские институты и, по возможности, доказанные медицинские исследования. Обратите внимание, что цифры в скобках ([1], [2] и т. д.) являются интерактивными ссылками на такие исследования.
Если вы считаете, что какой-либо из наших материалов является неточным, устаревшим или иным образом сомнительным, выберите его и нажмите Ctrl + Enter.
Инструментальная диагностика методом ультразвукового сканирования (УЗИ), которое также называется ультрасонографией, может выявлять во внутренних органах и полостях участки с различной акустической плотностью – гиперэхогенное или гипоэхогенное образование.
Диагностические методы
Единственный способ обнаружить гипоэхогенную область – прибегнуть к ультразвуковой диагностике. В таком случае обследование проводится специальным аппаратом, который излучает ультразвуковые волны.
УЗИ – процедура безболезненная и совершенно безопасная
Соприкасаясь с внутренними органами, ультразвуковые волны отражаются и возвращаются обратно. Благодаря этому все происходящее выводится на монитор. В дальнейшем врач расшифровывает полученные результаты.
УЗИ безвредно вне зависимости от возраста пациента. Метод может применяться при беременности и грудном вскармливании. Способ не нуждается в специальной подготовке. Исключение – абдоминальное ультразвуковое обследование. В таком случае иногда нужно наполнение мочевого пузыря или соблюдение диеты.
Что означает гипоэхогенное образование?
Локальное гипоэхогенное образование в том или ином органе, в отличие от гиперэхогенного, является результатом более низкой эхогенности тканей – в сравнении с параметрами акустической плотности здоровых тканей органа. То есть данный участок слабо отражает направленный на него ультразвуковой сигнал (в частотных диапазонах 2-5, 5-10 или 10-15 МГц). И это свидетельство того, что данное образование – с точки зрения его структуры – либо содержит жидкость, либо имеет полость.
Гипоэхогенное образование на экране визуализируются в виде серых, темно-серых и практически черных зон (при гиперэхогенности зоны светлые, часто – белые). Для расшифровки ультразвукового изображения существует шкала шести категорий серого Gray Scale Imaging, где каждый пиксель полученного на мониторе изображения гипоэхогенного образования – в зависимости от силы ультразвукового сигнала, возвращающегося на датчики – представляет собой конкретный оттенок серого.
Расшифрованные узи-диагностами (сонографами) результаты ультразвукового обследования изучаются врачами конкретного профиля (эндокринологом, гастроэнтерологом, урологом, нефрологом, онкологом и др.), сопоставляются с показателями сданных пациентами анализов и результатами прочих исследований.
Во многих случаях требуется дифференциальная диагностика, для чего, кроме УЗИ, используются другие аппаратные методы визуализации патологии (ангиография, цветная допплерография, КТ, МРТ и т.д.), а также проводится гистологическое исследование биоптатов.
Диагностика
Изначально доктор при первых жалобах пациента проводит осмотр, собирает анамнез.
Во время диагностики недугов поджелудочной железы важно провести не только ультразвуковое исследование, а еще и провести ряд лабораторных анализов крови и мочи. Только комплексный подход позволит получить более точные данные о состоянии здоровья пациента и поставить точный диагноз.
При исследовании крови (анализ можно сдать в любой поликлинике, он бесплатный) важен показатель активности альфа-амилазы. Сравнивается клиренс амилазы и клиренс креатинина, если у пациента развивается панкреатит, то уровень первого показателя в 5 раз выше второго. Высокий уровень амилазы в моче также указывает на панкреатит.
При проведении ультразвукового исследования специалист анализирует структуру самого органа, протоков и сосудов.
Если обнаруживаются изменения, то это может указывать на различные патологии:
- Если в протоке высокое давление, то это говорит об острой форме панкреатита, ткани разрушаются, идет интоксикация. Подобные процессы сопровождаются сильнейшим болевым синдромом.
- На начальной стадии панкреатита хронической формы наблюдается отечность органа, дальше она уменьшается в размерах, идет склеротизация.
- При фиброзе некоторые части железы замещаются соединительной тканью.
- Если некоторые участки замещаются жировой тканью, то это уже необратимый процесс. Если процесс идет активно, то паренхима сдавливается.
- При диабете и панкреатите ультразвук показывает различные признаки изменений паренхимы, наблюдаются отдельные участи с гиперэхогенностью.
- Наблюдается наличие новообразований.
- Жировая дистрофия указывает на частичное отмирание клеток.
УЗИ поджелудочной проводится только после подготовки. Проводить исследование следует только на пустой желудок, последний прием пищи должен быть за 12 часов до обследования. За несколько дней до УЗИ из рациона исключаются продукты, провоцирующие чрезмерное образование газов.
В день проведения исследования запрещено употреблять спиртные напитки и лекарства, курить.
Обследование занимает около 20 минут, не доставляет неудобств пациенту. Человек лежит на спине, на кушетке, во время исследования узист может попросить перевернуться на один бок, а после на второй, что позволит лучше они состояние органа, увидев его с разных ракурсов.
На область живота наносится специальный гель. Если у пациента есть склонность к метеоризму, то перед обследованием ему предлагают принять сорбент. После получения всех данных, специалист оценивает полученную информацию и ставит диагноз или рекомендует дополнительные обследования.
В некоторых случаях могут потребоваться дополнительные исследования:
- МРТ. Этот метод помогает уже на ранних стадиях выявить объемные образования. С его помощью можно получить трехмерное изображение железы и оценить ее состояние. Стоимость обследования от 2500 руб.
- КТ. Это еще одно дополнительное исследование, позволяющее более точно определить состояние, структуру, форму и наличие инородных тел в поджелудочной. Стоимость обследования от 500 руб.
Причины гипоэхогенного образования
Как показатель ультрасонографии, гипоэхогенное образование может иметь любую локализацию. Причины гипоэхогенного образования также разные и полностью зависят от этиологии и патогенеза тех заболеваний, которые развиваются у пациентов.
Например, гипоэхогенное образование в поджелудочной железе считается диагностическим критерием выявления таких патологий, как кисты, геморрагический панкреатит, муцинозная цистоаденома (которая склонна к малигнизации), аденокарцинома головки поджелудочной железы, метастазы при злокачественных опухолях других органов.
Гипоэхогенное образование в печени и желчном пузыре
Здоровые печеночные ткани умеренно гиперэхогенны, и гипоэхогенное образование в печени может быть при циррозных очагах; очаговом стеатозе; кистах (в том числе при Echinococcus multilocularis); билиарном абсцессе; гепатоцеллюлярной аденоме; очаговой паренхиматозной гиперплазии; гепатоме и холангиоцеллюлярной аденокарциноме небольших размеров.
Гипоэхогенные образования визуализируются также в случаях распространения в печень диффузных метастазов рака поджелудочной железы, яичников, молочных желез, яичка, желудочно-кишечного тракта.
В УЗИ-диагностике патологий желчного пузыря особое значение имеет строение его стенок, так как при отсутствии повреждений органа они визуализируется в виде трех слоев: внешнего и внутреннего гиперэхогенных и среднего гипоэхогенного.
Среди причин, вызывающих гипоэхогенное образование в желчном пузыре, следует назвать полипы, аденокарциному (с интактным внешним слоем пузыря), лимфомы (опухоли лимфоузов), ангиосаркому.
Гипоэхогенные образования селезенки
В норме эхогенность селезенки однородна, хотя чуть выше, чем печени. Но из-за высокой васкуляризации УЗИ селезенки проводится с контрастным веществом, которое накапливается в паренхиме и дает возможность (в конце паренхиматозной фазы) визуализировать очаговые поражения и гипоэхогенные образования селезенки.
Разновидности гиперэхогенных включений
Гиперэхогенными включениями в паренхиматозном исследуемом органе могут быть:
- псевдокиста, являющаяся жидкостным образованием, возникающим после устранения острой формы панкреатического поражения железы, характеризуется образованием неровного и зазубренного контура,
- как уже было выше сказано, это могут быть кальцификаты, или мелкие камушки,
- метастатические опухоли,
- определенные сегменты жировых, либо соединительных тканей,
- кистозно-фиброзные участки тканей железы.
Виды гипоэхогенных образований
Кроме анатомо-топографической характеристики возникшего образования, ультрасонография выявляет его форму (округлую, овальную, неправильную), размер по ширине (кранио-каудальный) и глубину относительно наружной стенки органа или полости.
По этому параметру основные виды гипоэхогенного образования включают:
- округлое гипоэхогенное образование или гипоэхогенное овальное образование (это различные кисты, варикоцеле, аденомы, опухоли надпочечников метастатической этиологии);
- гипоэхогенное узловое образование (свойственное гемангиомам, узловой билиарной гипертрофии, миомам матки, узелковому аденоматозу и др.);
- гипоэхогенное очаговое образование (характерное для цирроза и очаговой жировой инфильтрации печени, гематом и инфаркта селезенки и т.д.).
В заключении проведенного УЗИ отмечаются особенности контуров изображения:
- гипоэхогенное образование с ровными контурами (кисты, узловая гипертрофия печени, опухоли молочной железы);
- гипоэхогенное образование с неровными контурами (многие опухоли, большинство метастазов);
- гипоэхогенное образование с четким контуром (кисты, аденомы, абсцессы, имеющие на ультразвуковом изображении гиперэхогенный ободок);
- гипоэхогенное образование с нечеткими контурами (кавернозные гемангионы печени, рак щитовидной железы, метастазы в ткани органов любой локализации).
Далее оценивается гомогенность/гетерогенность образования, то есть его внутренняя структура:
- гипоэхогенное однородное образование (карциномы);
- гипоэхогенное неоднородное образование (крупные аденомы, рак печени, диффузные формы карцином и др.);
- гипоэхогенное образование с гиперэхогенными включениями (почечно-клеточный рак, аденома яичника, рак предстательной железы).
В обязательном порядке дается описание состояния окружающих тканей, дистальных акустических эффектов (усиление, ослабление, акустическая тень) и особенность латеральных теней (симметричность, асимметричность, отсутствие).
Кроме того, отмечается наличие/отсутствие васкуляризации (то есть кровеносных сосудов) в образованиях узлового характера с определением таких видов, как: гипоэхогенное образование без кровотока (аваскулярное) и гипоэхогенное образование с кровотоком.
Образования, имеющие кровеносные сосуды, разделяю на:
- гипоэхогенное образование с перинодулярным кровотоком (подтип с перинодулярной, т.е. окружающей узел васкуляризацией);
- гипоэхогенное образование с сочетанным кровотоком (сосуды имеются возле образования и внутри него);
- гипоэхогенное образование с интранодулярным кровотоком (наличие васкуляризации зафиксировано только внутри образования).
Как показывает клиническая практика, гипоэхогенное образование с интранодулярным кровотоком может указывать на его злокачественный характер.
И, наконец, принимается во внимание наличие в структуре образования соединений кальция. И гипоэхогенное образование с кальцинатами (кальцинозом) характерно для инкапсулированного хронического абсцесса печени при амебиазе, рака печени, новообразований в щитовидной и предстательной железе, злокачественных опухолей молочной железы и др.
Эхогенность: что это?
Эхогенность органа, как отмечалось ранее, определяется ультразвуковым исследованием. Для начала разберемся в принципе действия аппарата. При направлении на орган определенного потока ультразвуковых волн (чаще выше 20 тыс. Герц), его ткани в большей или меньшей степени способны отражать эти волны. То, в какой степени отражаются волны, зависят от плотности тканей.
Если ткани плотные, пропускная способность волн низкая. Если же стенки не столь плотные, то, соответственно, звуковые волны проникают в орган больше, а отражаются меньше. Именно данное явление и носит название «эхогенность» или «эхоплотность». Направление волн воспроизводится с помощью специального датчика, направляемого специалистом на нужную часть организма. Тот же датчик анализирует волны, которые отражаются от органа. Затем, с помощью преобразователя данные выводятся на экран.
Учеными доказано, что вопреки разным мнениям, ультразвуковые волны не несут никакую опасность для организма.
Специалисты, по уровню поглощения и отражения ультразвуковых волн, различают следующие виды тканей:
- Гиперэхогенные ткани – это те ткани, которые практически не пропускают волну в силу своей плотной структуры. Говоря медицинским языком, отличаются высокой эхогенностью или гиперэхогенностью. К ним относятся кости, рубцовая ткань, камни, если таковые имеются;
- Нормоэхогенными считаются ткани, которые отражают звуки на среднем уровне. То есть структура их менее плотная, чем у костной ткани, например, к данной категории органов относятся печень, почки, поджелудочная железа, сердце, матка, яичники, простата, молочная железа, щитовидная железа, селезенка. Все эти органы специалисты относят к так называемым паренхиматозным органам;
- Гипоэхогенные (анэхогенные, эхонегативные) ткани – это обычно полые внутри органы или содержащие жидкость. К таковым относятся желудок, кишечник, легкие, желчный пузырь. Если же говорить о патологических явлениях, такую картину можно наблюдать при наличии кист, гематом, абсцессов.















